UB spinoff gets $2 million for research on cancer therapy

Microscope image of cancer cells.

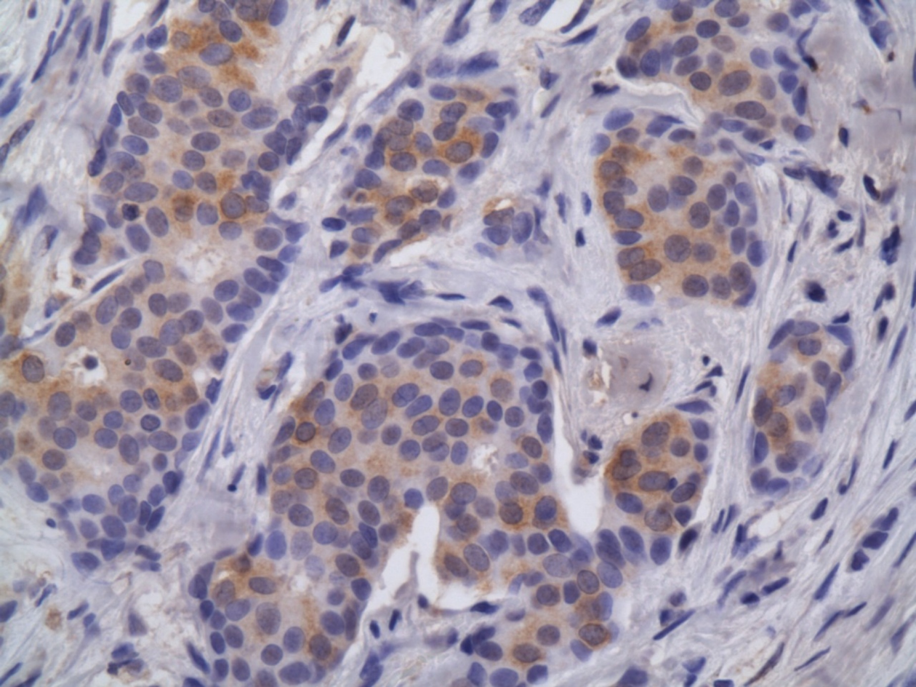
UB spinoff For-Robin is researching an antibody called JAA-F11, which binds to cancer cells and inhibits their spread to other parts of the body. This image shows the antibody binding to cancer cells (brown regions), while the surrounding, noncancerous tissue remains unaffected. Credit: Loukia Karacosta

The treatment has shown promise in preventing the spread of tumors

Release Date: May 4, 2015 This content is archived.

Print
“The new NIH grant will allow us to test the therapeutic possibilities of our humanized antibodies in animal cancer models. ”
Kate Rittenhouse-Olson, professor of biotechnical and clinical laboratory sciences, and microbiology and immunology
University at Buffalo
Two slides showing cancer cells under a microscope.

Both microscope images above show cancer tissue removed from a human patient.

The image on the left shows the tumor tissue mixed with a control antibody that did not bind to any cells.

The image on the right shows JAA-F11 — the For-Robin antibody — binding to the cancer cells (brown regions). Normal, noncancerous tissue surrounding the pockets of tumor cells remains unaffected. This indicates that JAA-F11 would target tumor cells and not normal cells in the patient for treatment.

Credit: Loukia Karacosta

BUFFALO, N.Y. — For-Robin, a University at Buffalo spinoff company, has received a $2 million grant from the National Cancer Institute (NCI) to study and develop a promising potential treatment for breast and other types of cancer, UB and U.S. Congressman Brian Higgins have announced.

For-Robin was founded in 2012 by Kate Rittenhouse-Olson, PhD, a professor of biotechnical and clinical laboratory sciences, and microbiology and immunology at UB.

The company’s core technology is an antibody called JAA-F11 that binds to cancer cells and prevents the spread, or metastasis, of the cancer to other parts of the body.

The new grant from the Small Business Technology Transfer program of the NCI, part of the National Institutes of Health (NHI), took effect on May 1.

“Companies like For-Robin are an important part of Western New York’s growing life sciences economy,” Congressman Higgins said. “This National Cancer Institute award demonstrates how innovations in our region are attracting the attention of the nation’s top funding agencies.”

“We’re very excited about this new funding,” said Rittenhouse-Olson, president of For-Robin. “It’s going to enable us to begin the next steps of our research and development process, which means we’ll be one step closer to bringing this potential therapy to patients.”

For-Robin previously has received support from the NCI; UB’s Office of Science, Technology Transfer and Economic Outreach; the Bruce Holm Memorial Catalyst Fund at UB; the UB Center for Advanced Biomedical and Bioengineering Technology; and UB’s Entrepreneurship-In-Residence (EIR) program, which is funded by the federal Economic Development Administration and a grant from SUNY’s EIR program. Rittenhouse-Olson also participated in the Pre-Seed Workshop hosted by UB’s New York State Center of Excellence in Bioinformatics and Life Sciences.

For-Robin is named after Rittenhouse-Olson’s late sister, Robin, who died of breast cancer in 1986 at the age of 31.

About JAA-F11

JAA-F11 originally was produced as a mouse monoclonal antibody, and Rittenhouse-Olson’s team at UB has shown that treating mice with the antibody can prevent breast cancer from spreading.

For-Robin’s recent research has focused on “humanizing” the antibody — altering various parts of its structure to prevent rejection by the human immune system.

As part of this process, For-Robin has developed several variations of the antibody, including some that show promise for delivering drugs to tumors and others that would recruit the body’s immune system to kill cancer.

All of the new designs retain the original antibody’s most important feature: They bind to a cellular structure called the Thomsen-Friedenreich antigen (TF) that is present on cancer cells but not on normal cells. TF helps tumor cells spread or metastasize to other tissues, and blocking its activity makes it difficult for cancer to spread, Rittenhouse-Olson said.

Some of For-Robin’s new, humanized JAA-F11 antibodies also have additional beneficial characteristics, such as:

  • Getting pulled into cancer cells, which could make it an ideal vehicle for carrying drugs directly to tumors.
  • Binding with white blood cells, which helps these cells locate and destroy cancer.

“The new NIH grant will allow us to test the therapeutic possibilities of our humanized antibodies in animal cancer models,” Rittenhouse-Olson said.

Though For-Robin’s primary target is breast cancer, the JAA-F11 antibody also has shown promise in fighting colon, prostate and bladder carcinomas.

Members of Rittenhouse-Olson’s research and development team include Julia Abdullah, Taylor Chrisikos, Holly Johnson, Loukia Karacosta, Rachel Ludwig, Susan Morey, Sally Quataert and James Olson.

More information on For-Robin: http://www.for-robin.com

Media Contact Information

Charlotte Hsu is a former staff writer in University Communications. To contact UB's media relations staff, email ub-news@buffalo.edu or visit our list of current university media contacts.